وحسب ماجاء في بلاغ الجمعية ،الجمعية الوطنية للتوعية ومحاربة داء السل فإن "داء السل يستمر في حصد ما يناهز 1,3 مليون شخص سنويا منهم 167000 شخص من المصابين بفيروس العوز المناعي البشري وعلى صعيد العالم، يمثل السل المرض المعدي الثاني الأشد فتكا بعد كوفيد_19 في عام 2022 اصيب ما يقدر بنحو 10,6 ملايين شخص في العالم بالسل، منهم 5,8 ملايين رجل و 3,5 ملايين امرأة و 1,3 مليون طفل. ان داء السل يمكن علاجه والوقاية منه بحكم اعراضه الشائعة والمتمثلة في:
_السعال المطول مصحوبة احيانا بالدم، الالم في الصدر،الضعف_ التعب، فقدان الوزن، الحمى، التعرق ليلا".
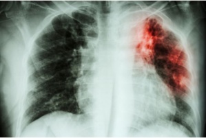
"و تتوقف الاعراض التي يصاب بها الناس على الموضع الذي يصبح فيه السل نشطا في الجسم، وعلى الرغم من أن السل يؤثر عادة على الرئتين، فهو يؤثر أيضا على الكليتين و الدماغ و العمود الفقري والجلد،
ان الوقاية بالتشخيص المبكر والعلاج ومحاربة المحددات السوسيو اجتماعية كالفقر والبطالة و السكن الغير اللائق وسوء التغدية والتدخين ومراقبة جودة المواد الغذائية كالحليب و مشتقاته تظل السبل الفعالة لمحاربة هذا الداء وذلك بتظافر جهود كافة القطاعات الحكومية المعنية وليس وزارة الصحة والحماية الاجتماعية لوحدها فقط، يمكن الحد من تفشي مرض السل من خلال إيجاد حلول للعديد من المشاكل الاجتماعية والاقتصادية".
ان المغرب بالرغم من المجهودات المبذولة في مجال محاربة داء السل بحكم البرامج الوطنية والحملات التحسيسية والرفع من الميزانية المرصودة لداء السل فمازالت الارقام مقلقة حيث تم تسجيل حسب المنظمة العالمية للصحة 35000 حالة و انتكاسة جديدة مما يمثل 93 حالة لكل 100000 نسمة، يشكل منها 53 بالمئة داء السل الرئوي.
الرئيس: حبيب كروم
_السعال المطول مصحوبة احيانا بالدم، الالم في الصدر،الضعف_ التعب، فقدان الوزن، الحمى، التعرق ليلا".
"و تتوقف الاعراض التي يصاب بها الناس على الموضع الذي يصبح فيه السل نشطا في الجسم، وعلى الرغم من أن السل يؤثر عادة على الرئتين، فهو يؤثر أيضا على الكليتين و الدماغ و العمود الفقري والجلد،
ان الوقاية بالتشخيص المبكر والعلاج ومحاربة المحددات السوسيو اجتماعية كالفقر والبطالة و السكن الغير اللائق وسوء التغدية والتدخين ومراقبة جودة المواد الغذائية كالحليب و مشتقاته تظل السبل الفعالة لمحاربة هذا الداء وذلك بتظافر جهود كافة القطاعات الحكومية المعنية وليس وزارة الصحة والحماية الاجتماعية لوحدها فقط، يمكن الحد من تفشي مرض السل من خلال إيجاد حلول للعديد من المشاكل الاجتماعية والاقتصادية".
ان المغرب بالرغم من المجهودات المبذولة في مجال محاربة داء السل بحكم البرامج الوطنية والحملات التحسيسية والرفع من الميزانية المرصودة لداء السل فمازالت الارقام مقلقة حيث تم تسجيل حسب المنظمة العالمية للصحة 35000 حالة و انتكاسة جديدة مما يمثل 93 حالة لكل 100000 نسمة، يشكل منها 53 بالمئة داء السل الرئوي.
الرئيس: حبيب كروم
الرئيسية



















































